• -
  • 7 July, 2021

What is a Dental Bridge?

A step-by-step guide to Dental Bridge 

Introduction:  

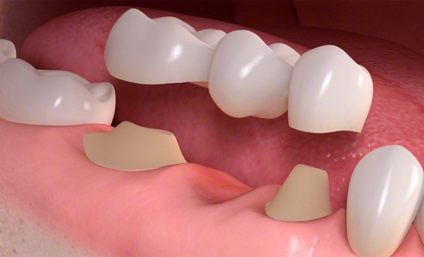
A dental bridge is a type of restorative dental treatment that is used to replace missing teeth. The bridge basically bridges the gap in the mouth between the healthy teeth or dental implants on either side so as to restore both the function and appearance of the teeth. The installation of a dental bridge is described in detail in the following article. 

Evaluation:  

The first step in the dental bridge procedure is to determine whether or not restorative dental treatment is required to replace missing teeth and whether or not a dental bridge is the best option. Dental crowns and dental implants are two other therapeutic dental treatments that may be more appropriate in some cases. 

To gain a complete understanding of the situation and make the best decision, the dentist will usually examine the area and take X-rays of the jaw. It is critical to discuss the various options with the patients, including the type and design of the bridge, so that they understand the benefits and drawbacks of each option. 

Initial Consultation: Teeth Preparation and Temporary Bridge Installation 

Most bridges are supported by abutment teeth, which are healthy teeth on either side of the gap. In order for the dentist to prepare these teeth for the placement of a dental bridge, they must be shaped to fit the bridge. The dentist may use a local anesthetic to ensure the patient’s comfort throughout the procedure. 

The first step is to shape the abutment teeth so that the bridge can be installed. After that, impressions of the shaped teeth are taken and sent to a dental laboratory for bridge construction. For aesthetic reasons, the prosthetics should be color-matched to the surrounding natural teeth, so a sample color should be taken at this point. 

A dental implant would be required to anchor the bridge in some cases, mainly if the teeth on either side of the gap are not strong enough to support the bridge on their own. 

Some patients may be given a temporary bridge, which is typically made of filling material and protects the shaped teeth from damage while the permanent bridge is being built. This can be removed when the permanent bridge is ready to be placed in the mouth. 

Second Appointment: Permanent Bridge Installation 

The next appointment in the dental bridge procedure may be scheduled as soon as the one-of-a-kind appliance has been created and is ready for placement. To increase patient comfort, a local anesthetic is usually administered at the start of this appointment. 

Before the permanent dental bridge can be installed, the temporary one should be removed and the underlying teeth cleaned if necessary. The dental bridge can then be secured to the abutment teeth with dental cement. 

The results can hence be seen, and the patient can feel what it’s like to bite the teeth together gently. 

Following Up 

Aftercare and follow-up are critical components of the dental bridge procedure to ensure that the patient understands what to expect and how to care for their new dental bridge. As a result, the dentist should take the time to explain the specifics of the dental bridge, such as recommended oral care and when to seek dental advice. With proper care, a dental bridge can last longer than 10 years. 

Categories:
Tags :
Comments :
Hailey Avatar
Hailey - 8 months ago
My name is Hailey Garcia and I am from New Jersey. My herpes virus turned to war after 2 years of living with it. I have tried different medical procedures to cure my herpes but to no avail. Most people think herpes is only a minor skin irritation of which herpes has long term effects on health and passes through the bloodstream and can be easily contracted through sexual intercourse. I knew I had herpes from the first day I started feeling itchy in my pubic area and the pain was very unbearable. I couldn't stand it anymore. After 2 years of trying other means to get rid of it, I had to contact Doctor Odunga to help me with a permanent cure. I saw his email and whats-app number from a testimony I read online from a lady who was also helped by him in curing infertility problems, I had faith and contacted him. He assured me of his work and I ordered his herbal medicine. Within 5 days, I didn't feel any pain anymore and within 2 weeks, my skin was all cleared and smooth. I am very grateful to you sir and I write this testimony as others have done to bring those having faith to you sir. If you have herpes or other similar disease and you want it cured, kindly contact Doctor Odunga, Whats-App (wa.me/+2348167159012) OR Email [email protected]

Authentication required

You must log in to post a comment.

Log in

Upcoming webinars:

  • 18 December,2025
Shoot, Document, Deliver: The Power of Dental Photography

Join our webinar ‘Shoot, Document, Deliver: The Power of Dental Photography’ to master equipment, techniques, and applications for impactful clinical images.

  • 21 December,2025
Minor Oral Surgery, Major Challenges : Clinician’s Guide

Gain practical insights into managing common challenges and complications in minor oral surgery for improved clinical outcomes.

  • 25 December,2025
From failing dentition to fixed function: Advanced full-arch implant restorations with a patient-centered approach

Discover advanced full-arch implant restorations transforming failing dentition with a patient-centered approach.

  • 28 December,2025
In the Loop : Decoding the Matrix Systems

Simplifying the matricing challenges from Flat to Fabulous

  • 1 January,2026
Management of Complications Post Transalveolar Extractions.

This Webinar will cover Management of Various Complications Occurring after Surgical Extractions.

  • 2 January,2026
Basics of Prosthetic Options in Dental Implants

Choosing the right prosthesis is the key to long-term success in implant dentistry.

  • 16 January,2026
Abutment Selection In Implantology- Which, When and Why?

This webinar will briefly discuss various abutment options and their selection process to enhance implant function and longevity.

  • 18 January,2026
Clinical Implications of Proximity of Nerve with Mandibular Third Molars

A Webinar on Evaluating Nerve Proximity Risks during Mandibular Third Molar Surgery for safer Clinical Outcomes.